‹
›
×
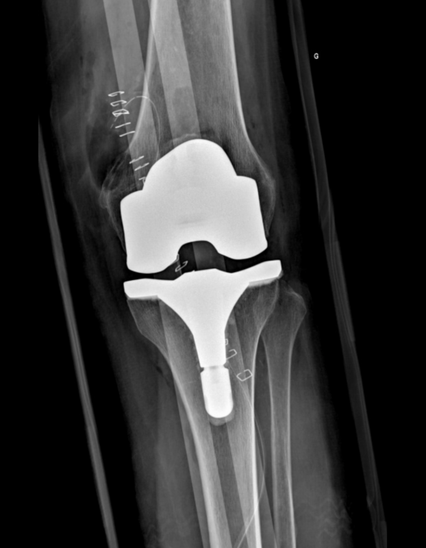
PROTHÈSE DE GENOU NAVIGUÉE EN 3D
VOIE MINI INVASIVE
RETOUR ACCUEIL
preparation du tibia
coupe fémorale
résultat final
Retour site principal